Deux antiparasitaires efficaces contre le cancer du pancréas : l’ivermectine et le mebendazole
Ivermectine et cancer du pancréas
L’ivermectine surpasse la chimiothérapie dans cette étude sud-coréenne de 2022 « Les vaccins à ARNm covid-19 de Pfizer et Moderna ont provoqué une explosion des cas de cancer du pancréas ».
Toujours des données de recherche pas des conseils d’auto-médication. Données du Dr Makis, oncologue.
IVERMECTINE ET CANCER DU PANCRÉAS – L’ivermectine surpasse la chimiothérapie dans cette étude sud-coréenne de 2022 Les vaccins à ARNm covid-19 de Pfizer et Moderna ont provoqué une explosion des cas de cancer du pancréas https://t.co/CmIY7XTiJB
— Hélène Banoun (@BanounHelene) September 7, 2024
Le cancer du pancréas avait autrefois un taux de survie à 5 ans inférieur à 10%, mais si vous avez reçu des vaccins à ARNm covid-19, c’est encore pire !
C’est pourquoi, selon l’étude sud-coréenne de 2022 de Lee et al : « il est nécessaire de découvrir de nouveaux agents chimiothérapeutiques et de développer des stratégies thérapeutiques efficaces dans le cancer du pancréas ».
« Il s’agit de la première étude à évaluer les effets anticancéreux de la combinaison d’ivermectine et de gemcitabine dans le cancer du pancréas ».
« Nous avons constaté que le traitement combiné ivermectine-gemcitabine supprimait le cancer du pancréas plus efficacement que le traitement à la gemcitabine seule ».
« Des expériences in vivo ont confirmé que le groupe ivermectine-gemcitabine avait significativement inhibé la croissance tumorale par rapport au groupe gemcitabine seule ».
Lorsque les cellules cancéreuses du pancréas ont été exposées à la gemcitabine ou à l’ivermectine à des doses plus faibles, la chimiothérapie est légèrement meilleure, mais à des doses plus élevées, l’ivermectine écrase la chimiothérapie, à chaque fois !
Il existe une sous-population de cellules cancéreuses du pancréas que la chimiothérapie ne peut tout simplement pas tuer (les cellules souches cancéreuses ?) – mais l’ivermectine tue beaucoup de ces cellules résistantes ! L’ivermectine surpasse également la chimiothérapie dans toutes les études in vivo, chez la souris.
L’ivermectine réduit les tumeurs pancréatiques mieux que la chimiothérapie à la gemcitabine ! Cependant, la combinaison d’ivermectine et de chimiothérapie a des résultats encore meilleurs, même si parfois le bénéfice de l’ajout de chimiothérapie est assez léger.
Cela vaut-il les effets secondaires ? Pour un bénéfice mineur seulement ? Mais que se passerait-il si, au lieu de l’ivermectine + chimiothérapie, nous utilisions une combinaison de médicaments réutilisés – des médicaments qui surpassent systématiquement la chimiothérapie et ont beaucoup moins d’effets secondaires ?? Ivermectine + Fenbendazole au lieu de l’ivermectine + chimio ? Ivermectine + Mébendazole au lieu de l’ivermectine + chimio ? Les résultats seraient-ils encore meilleurs ? Presque certainement !

Cancer du pancréas : un antiparasitaire contre la tumeur
On sait que le cancer du pancréas est l’une des tumeurs malignes les plus agressives, avec une survie médiane globale qui reste inférieure à 5 mois après diagnostic. Cette équipe de cancérologues et pharmacologues de la Johns Hopkins Medicine révèle, une toute nouvelle option médicamenteuse, un antiparasitaire. Ces travaux menés chez la souris modèle apportent, dans la revue Oncotarget, les premières preuves d’efficacité du mébendazole (MBZ) à ralentir la progression du cancer du pancréas.
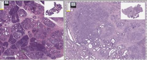
Ainsi une tumeur du pancréas chez la souris (coupe de gauche sur visuel ci-dessous) est pratiquement éliminée (visuel de droite) lorsque la souris est traitée avec un agent inflammatoire et le mébendazole. Une option à regarder de plus près alors que le cancer du pancréas est l’une des tumeurs malignes les plus agressives, avec une survie médiane globale qui reste inférieure à 5 mois. En cause son diagnostic le plus souvent tardif, un manque de médicaments efficaces et le développement, dans de nombreux cas d’une résistance au traitement. Le cancer du pancréas est ainsi le 3ème cancer le plus mortel dans les pays riches.
Le mébendazole pourrait jouer un rôle à tous les stades de la tumeur
L’équipe de la John Hopkins montre ici que l’antiparasitaire prévient l’initiation, la progression et les métastases du cancer du pancréas chez des souris génétiquement modifiées pour développer ce type de tumeurs. Les chercheurs utilisent 2 modèles de souris différents pour déterminer que le mébendazole peut ralentir ou arrêter la croissance et la propagation du cancer du pancréas à un stade précoce et/ou avancé.
« Le mébendazole pourrait être efficace à toutes les étapes et tout particulièrement lorsque le cancer est détecté tôt ».
L’étude préclinique : lorsque les chercheurs administrent du mébendazole à des souris modèles de cancer du pancréas, évaluent l’inflammation et observent les changements dans les tissus, le stade, le grade et l’état métastatique de chaque tumeur, ils constatent toute l’efficacité du médicament.
Quel processus ? L’antiparasitaire mébendazole, utilisé pour lutter contre les ascaris, les ankylostomes et autres infections parasitaires inhibe la formation de tubuline qui structure et alimente la cellule. Le médicament pénètre dans l’intestin du parasite, détruit la tubuline, ce qui affame le parasite qui meurt. L’étude montre que le mébendazole agit de manière similaire dans le cancer du pancréas en détruisant la structure des cellules cancéreuses et en réduisant l’inflammation.
Des essais cliniques sont déjà envisagés : « Nous préconisons l’utilisation du mébendazole comme traitement pour les personnes diagnostiquées avant la formation de métastases pour voir si nous pouvons ralentir ou prévenir le cancer du pancréas. Pour les patients atteints de cancers plus avancés, l’antiparasitaire pourrait également être une alternative à certaines chirurgies. Enfin, le mébendazole pourrait permettre de prévenir la récidive tumorale et favoriser la durabilité de la réponse à la chimiothérapie standard chez les patients atteints d’une maladie avancée ».
yogaesoteric
23 septembre 2024