Le graphène se transmet des vaccinés aux non-vaccinés !
Le graphène est transmis des vaccinés aux non-vaccinés, détruisant leurs globules rouges et leur provoquant des caillots sanguins !
Dans sa dernière série de lames d’échantillons de sang prélevés à la fois sur des personnes « vaccinées » et non vaccinées, le Dr Philippe van Welbergen a démontré que le graphène injecté aux personnes s’organise et se développe en fibres et structures plus grandes, acquérant des propriétés magnétiques ou une charge électrique et les fibres démontrant des indications de structures plus des complexes avec des stries.
Il a également démontré que des « éclats » de graphène sont transmis de personnes « vaccinées » à des personnes non vaccinées, détruisant leurs globules rouges et provoquant des caillots sanguins chez les personnes non vaccinées.

Le Dr Philippe van Welbergen (« Dr Philippe »), directeur médical des cliniques biomédicales, a été l’un des premiers à prévenir le public des dommages causés au sang des personnes par les injections de covid en publiant l’année dernière des images d’échantillons de sang au microscope.
Début juillet 2021, le Dr Philippe , a été interviewé sur une chaîne communautaire sud-africaine, Loving Life TV.
Il a expliqué que lorsque ses patientes ont commencé à se plaindre de fatigue chronique, de vertiges, de problèmes de mémoire, voire parfois de paralysie et d’apparition tardive de menstruations abondantes (femmes de plus de 60 ans), il a prélevé des échantillons de sang.
Leur sang avait des structures tubulaires anormales, des particules qui s’illuminaient et de nombreuses cellules endommagées. Peu de cellules saines étaient visibles. Jusqu’à trois mois plus tôt, il n’avait jamais vu ces formations dans le sang. Nous savons maintenant que ces structures en forme de tube sont du graphène.
Depuis, le Dr Philippe est régulièrement invité sur Loving Life TV : d’a signalé le publié expérimental de l’injection covid ; fournir des mises à jour sur les dommages croissants causés au sang par les injections expérimentales de covid au fil du temps ; et, donner des mises à jour sur la situation de covid au Royaume-Uni et en Afrique du Sud.
Le 12 février 2022, le Dr Philippe est de nouveau revenu sur Loving Life TV pour diffuser des images de ses dernières lames d’échantillons de sang. Le flux en direct était long, donc Loving Life TV l’a séparé en deux parties.
La première partie est une discussion comprenant des réponses aux questions du public.
Dans la deuxième partie , le Dr Philippe présente les images de ses dernières lames de sang et explique ce que montrent les images.
Il discute de près de 100 lames de sang de patients « vaccinés » et non vaccinés. Ses diapositives montrent que des patients non vaccinés ont été « infectés par des toxines vaccinales par excrétion ».
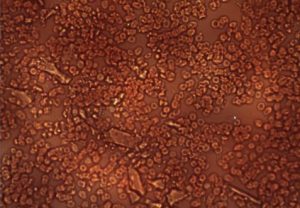
Ci-dessous, une image de globules rouges sains typiques vus au microscope, à quoi le sang devrait s’adresser. Il n’y a pas de coagulation ni de corps étrangers.

L’image suivante est celle d’une personne à qui on a administré le médicament expérimental covid. Le sang est coagulé, les globules rouges difformes s’agglutinent. La cellule encerclée dans l’image est un globule rouge sain, l’un des rares sur l’image, assis à côté des fibres de graphène. Vous pouvez voir la taille des fibres de graphène par rapport à la taille d’un globule rouge. Les fibres de cette taille bloqueront les capillaires. Vous pouvez également voir que les fibres de graphène sont creuses et contiennent des globules rouges.

Quelques semaines avant la réalisation de la vidéo, le Dr Philippe a commencé à remarquer un effet de polarité magnétique ou électrique sur différents côtés des fibres de graphène. Dans l’image ci-dessous, à droite de la fibre, les cellules sont coagulées et sur le côté gauche se trouve ce qui ressemble à un espacement ou à un espacement en forme de « C » à peu près à l’envers. Le Dr Philippe dit que ce « comportement » n’était pas observé auparavant, mais que maintenant, tout à coup, il est observé dans presque tous les échantillons. C’est une indication que « ces choses ont changé, leur réaction avec les cellules sanguines environnantes a changé… et je ne sais pas ce qui l’a autorisé », at-il déclaré.

L’image ci-dessous est celle d’un échantillon de sang d’un enfant de trois ans non vacciné. Il montre des morceaux ou des « éclats » de graphène qui « sont le résultat de l’excrétion », c’est-à-dire que le graphène a été transmis de parents « vaccinés » à leur enfant non vacciné.

Ci-dessous, l’image d’un échantillon de sang d’un enfant de huit ans non vacciné dont le sang a été contaminé et détruit par la transmission de graphène de son entourage ayant eu une injection de covid. Le bras droit et le haut de la jambe droite de l’enfant sont essentiellement paralysés, l’enfant est incapable de lever son bras droit et la cuisse ne fonctionne pas correctement.

La présentation du Dr Philippe est vraiment révélatrice et horrifiante – un must, en particulier pour ceux qui proclament que les injections covid sont « sûres » et insistantes pour que les gens se fassent injecteur. Les injections de covid sont des armes de génocide et la façon dont les personnes qui les ont conçues se promènent toujours librement sont incroyables.
yogaesoteric
25 juillet 2022
Also available in:
English