La perception et la catégorisation des couleurs repose-t-elle uniquement sur le langage ?
En neurosciences, l’hypothèse majoritaire veut que la catégorisation des couleurs dépende directement du système linguistique utilisé. En d’autres termes, percevoir et nommer une couleur dépendrait du langage. Cependant, dans le cadre d’une étude portant sur un sujet présentant des lésions cérébrales suite à un AVC, une équipe de neurologues a montré que la perception des couleurs est en réalité bien moins dépendante du langage que ne le laissent penser les modèles actuels.
Après avoir subi un accident vasculaire cérébral, le patient RDS (identifié uniquement par ses initiales) a présenté un effet secondaire rare et inhabituel : quand il a vu quelque chose de rouge, de bleu, de vert ou de toute autre teinte chromatique, il n’a pas pu nommer la couleur de l’objet.
À partir du cas de RDS, une étude publiée dans la revue Cell Reports examine comment le langage façonne la pensée humaine. Les neuroscientifiques et les philosophes ont longtemps réfléchi sur l’interaction entre langage et pensée : les noms déterminent-ils la façon dont on catégorise ce qu’on perçoit ou correspondent-ils à des catégories issues de la perception ?
Une perception et catégorisation des couleurs dépendante du langage ?
Pour nommer la couleur rouge, par exemple, on considère un élément rouge comme l’un des nombreux éléments d’un spectre vaguement défini englobant le concept « rouge ». En ce sens, on effectue un acte de catégorisation chaque fois qu’on appelle quelque chose par son nom. On regroupe les couleurs en catégories distinctes pour identifier la moutarde en tant que nuance de jaunes, par exemple, ou placer l’herbe en nuance de verts.
Paolo Bartolomeo, neurologue à l’Institut du cerveau et de la colonne vertébrale de la Salpêtrière à Paris, déclare : « Nous percevons les couleurs comme étant continues. Il n’y a pas de frontière nette entre, par exemple, le rouge et le bleu. Pourtant, conceptuellement, nous regroupons les couleurs en catégories associées, avec des noms de couleur. Dans notre étude, nous avons eu l’opportunité unique d’aborder le rôle du langage dans la catégorisation des couleurs en testant un patient incapable de nommer les couleurs après un AVC ».
De nombreux scientifiques pensent que la catégorisation des couleurs dépend du transfert d’information du système linguistique au cortex visuel. L’hypothèse étant que les noms des couleurs sont stockés dans l’hémisphère gauche du cerveau et dépendent de l’activité liée au langage dans le côté gauche du cerveau. Toutefois, ces derniers résultats soutiennent des études en neuro-imagerie, suggérant que la catégorisation des couleurs est distribuée de manière bilatérale dans le cerveau humain.
Un traitement cérébral des couleurs globalisé
Pour visualiser des disques contenant deux couleurs de la même catégorie de couleur (deux nuances de bleu, par exemple) ou de catégories différentes (par exemple, le marron et le rouge), il a été demandé à RDS d’identifier les couleurs de la même catégorie. Il lui a également été demandé de nommer 34 blocs de couleur présentés sur un écran d’ordinateur ; huit de ces blocs étaient achromatiques (blanc, noir et gris) et 26 étaient chromatiques.
(A) Test de catégorisations et nomination des couleurs utilisées dans l’étude et (B) Résultats des tests soumis à RDS (triangle noir) et au groupe de contrôle (ronds verts et gris). Bien que le groupe de contrôle ait obtenu de bien meilleurs résultats, ceux de RDS montrent tout de même que la gestion des couleurs ne dépend pas uniquement du langage. Crédits : Katarzyna Siuda-Krzywicka et al. 2019
Avant son AVC, RDS percevait et nommait les couleurs normalement. Après son AVC, une IRM a révélé une lésion dans la région gauche de son cerveau. Cette lésion aurait apparemment coupé la mémoire des noms des couleurs de RDS, de sa perception visuelle des couleurs et de son système de langage. Cependant, RDS pouvait toujours regrouper la plupart des couleurs, même impossibles à nommer, dans des catégories telles que sombre ou clair ou comme un mélange d’autres couleurs.
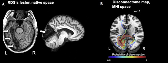
(A) IRM montrant les lésions cérébrales post-AVC de RDS (flèches) et (B) Cartographie IRM des déconnexions cérébrales entre les deux hémisphères. Crédits : Katarzyna Siuda-Krzywicka et al. 2019
« Nous avons été surpris par sa capacité à nommer systématiquement des couleurs dites achromatiques telles que le noir, le blanc et le gris, par opposition à sa dénomination altérée de couleurs chromatiques telles que le rouge, le bleu et le vert. Cela suggère que notre système linguistique peut traiter le noir, le blanc et le gris, différemment des couleurs chromatiques. De telles dissociations frappantes soulèvent des questions importantes sur la manière dont différents signaux liés à la couleur sont séparés et intégrés dans le cerveau » explique Katarzyna Siuda-Krzywicka.
Mieux comprendre la catégorisation des couleurs par le cerveau
Pour s’assurer que le comportement de RDS ne reflète pas une organisation cérébrale anormale, les chercheurs ont comparé le fonctionnement de ses zones cérébrales non atteintes à celui des mêmes zones cérébrales chez des sujets sains et ont mis au point un test de catégorisation des couleurs non verbal. « Notre résultat – montrant que les catégories de couleurs sont indépendantes de la langue – pourrait être généralisé à des adultes en bonne santé » explique Bartolomeo.
D’où viennent les catégories de couleurs, si ce n’est du langage ? Siuda-Krzywicka suggère que de futures études pourraient explorer la mise en œuvre de la catégorisation des couleurs chez les primates non humains ainsi que dans le cerveau humain, et la manière dont l’acquisition du langage interagit avec la catégorisation des couleurs aux stades du développement de l’enfant.
yogaesoteric
3 novembre 2019
Also available in:
