Le cerveau est-il le deuxième repaire des bactéries intestinales ?
Il est bien connu que les microbes situés dans les intestins peuvent avoir d’importants effets sur la santé. Mais à présent, les chercheurs se demandent si certaines de ces bactéries pourraient décider d’aller s’installer dans le cerveau ?

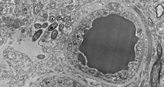
Des images de tranches de cerveau humain révèlent des bactéries, situées ici à gauche d’un vaisseau sanguin. Une preuve alléchante, mais préliminaire, d’un « microbiome cérébral ».
Une affiche présentée lors de la réunion annuelle de la Society for Neuroscience a attiré l’attention, avec des images prises au microscope et en haute résolution, de bactéries pénétrant apparemment dans les cellules d’un cerveau humain en bonne santé. Les chercheurs soulignent le fait qu’il s’agit de travaux préliminaires et que les échantillons de tissus, prélevés sur des cadavres, auraient potentiellement pu être contaminés.
Cependant, pour de nombreux passants dans la salle d’exposition de la réunion annuelle, la possibilité que des bactéries puissent directement influer sur les processus cérébraux, y compris peut-être l’évolution d’une maladie neurologique, était plus qu’exaltante. « C’est comme une toute nouvelle usine moléculaire [dans le cerveau] avec ses propres besoins. (…) C’est époustouflant », a déclaré le neuroscientifique Ronald McGregor, de l’Université de Californie à Los Angeles (USA), qui n’a pas participé aux travaux.
Le cerveau est un environnement bien protégé : il est partiellement isolé du contenu du sang par un réseau de cellules qui entourent ses vaisseaux sanguins. Cependant, les bactéries et les virus qui parviennent à pénétrer dans cette barrière hémato-encéphalique, peuvent provoquer une inflammation potentiellement fatale.
Certaines recherches ont suggéré que les bactéries vivant dans les intestins pourraient affecter l’humeur et le comportement, voire augmenter le risque de maladies neurologiques, mais par des moyens indirects. Par exemple, une perturbation de l’équilibre des microbiomes intestinaux pourrait augmenter la production d’une protéine qui pourrait causer la maladie de Parkinson, si elle vient à voyager à travers le nerf reliant l’intestin au cerveau.
Durant la réunion, la neuroanatomiste Rosalinda Roberts de l’Université d’Alabama à Birmingham (UAB), a fait comprendre aux participants présents que la découverte, si elle s’avère correcte, suggère une relation intime inattendue entre les microbes et le cerveau.
En effet, son laboratoire recherche en ce moment les différences entre les personnes en bonne santé et celles atteintes de schizophrénie, en examinant des tranches de tissu cérébral préservées, quelques heures après le décès seulement.
Il y a environ 5 ans, la neuroscientifique Courtney Walker, alors étudiante au laboratoire de Roberts, était fascinée par des éléments non identifiés en forme de bâtonnets, qui figuraient justement dans les images très détaillées de ces tranches, capturées au microscope électronique. Roberts avait déjà vu ces formes : « Mais je les ai juste négligées, car je cherchais autre chose », explique-t-elle.
Cependant, Walker a persisté et a commencé à consulter d’autres collègues de l’UAB. Puis, l’année 2018, une bactériologiste lui a annoncé une nouvelle inattendue : les éléments qu’elle voyait étaient en réalité des bactéries. L’équipe de recherche a découvert des bactéries dans chaque cerveau contrôlé, soit 34 au total, dont la moitié était en bonne santé, tandis que l’autre moitié provenait de personnes atteintes de schizophrénie.
Roberts s’est demandée si des bactéries de l’intestin pouvaient avoir pénétré dans le cerveau par des vaisseaux sanguins, durant les heures qui ont suivi sa mort. Elle a donc examiné des cerveaux de souris en bonne santé, qui ont été préservées immédiatement après la mort de ces dernières : il y avait encore plus de bactéries. Ensuite, elle a examiné le cerveau de souris exemptes de germes, qui ont été soigneusement élevées pour être dépourvues de vie microbienne. Ces derniers étaient uniformément propres.

Le séquençage de l’ARN a révélé que la plupart des bactéries provenaient de trois embranchements communs à l’intestin : les firmicutes, les protéobactéries et les bactéroïdes. Roberts ne sait pas comment ces bactéries auraient pu pénétrer dans le cerveau. En effet, ces dernières pourraient avoir traversé des vaisseaux sanguins, remonté des nerfs de l’intestin, ou même être entrées par le nez. L’équipe de recherche ne sait pas non plus qu’elle est l’utilité ou la nuisance potentielle de ces bactéries dans le cerveau.
L’équipe de recherche n’a cependant décelé aucun signe d’inflammation suggérant qu’elles causaient des dommages, mais ces dernières n’ont pas encore été quantifiées ni comparées aux cerveaux de personnes souffrant de schizophrénie, ainsi qu’aux cerveaux en bonne santé. S’il s’avérait qu’il y ait des différences majeures, de futures recherches pourraient analyser comment ce « microbiome cérébral » proposé pourrait maintenir, ou menacer, la santé du cerveau.
Lors de l’étude initiale des micrographies électroniques, l’équipe de Roberts a observé que les bactéries résidentes avaient des préférences déroutantes. En effet, elles semblaient habiter des cellules en forme d’étoile, appelées astrocytes, qui interagissent avec les neurones et les soutiennent.
Plus précisément, les microbes se sont regroupés autour des extrémités des astrocytes qui entourent les vaisseaux sanguins au niveau de la barrière hémato-encéphalique. Ils semblaient également être plus abondants autour des neurones qui sont enveloppés dans la substance grasse appelée myéline.
Roberts ne peut pas expliquer ces préférences mais l’équipe de recherche se demande si ces bactéries sont attirées par les graisses et le sucre contenus dans ces cellules du cerveau.
Pourquoi plus de chercheurs n’ont-ils pas vu ces bactéries dans le cerveau auparavant ? Selon Roberts, l’une des raisons pourrait être que peu de chercheurs soumettent les cerveaux post-mortem à la microscopie électronique. « Le jumelage d’un neuroanatomiste avec une collection de cerveaux ne se produit tout simplement pas très souvent », explique-t-elle. De plus, les neuroscientifiques peuvent (comme ce fut son cas), négliger ou ne pas reconnaître les bactéries dans leurs échantillons.
Roberts reconnaît que son équipe doit encore exclure toute possibilité de contamination. Par exemple, des microbes contenus dans l’air ou qui étaient présents sur les instruments chirurgicaux, auraient potentiellement pu pénétrer lors de l’extraction du cerveau. Les chercheurs prévoient donc des études supplémentaires pour exclure ces options.
Parmi les visiteurs ayant pu observer l’affiche, « il y avait quelques sceptiques », note Roberts. Mais même si les bactéries ne se sont jamais vraiment développées dans des cerveaux vivants, « les schémas de leur invasion post-mortem sont intrigants », ajoute-t-elle. Cependant, s’il existe réellement une sorte de « microbiome cérébral », comme proposé par Roberts, « il y aurait beaucoup à étudier », déclare Teodor Postolache, psychiatre à l’Université du Maryland à Baltimore.
Ce dernier a étudié le parasite protozoaire Toxoplasma gondii, qui envahit le cerveau, mais ne cause pas toujours une maladie évidente. « Je ne suis pas très surpris que d’autres choses puissent vivre dans le cerveau, mais bien entendu, si c’est le cas, alors c’est révolutionnaire » dit-il.
Selon les chercheurs, si ces bactéries intestinales communes constituent une présence bénigne dans et autour des cellules cérébrales, alors elles pourraient bien jouer un rôle clé dans la régulation de l’activité immunitaire du cerveau. « Il y a encore un long chemin à parcourir pour le découvrir, mais c’est un chemin passionnant », a-t-il ajouté.
yogaesoteric
9 avril 2019
Also available in:
Română