Pourquoi Dieu ne disparaîtra jamais (1)
D’étonnants travaux en neurobiologie l’affirment aujourd’hui : l’homme est programmé pour croire en Dieu, via la structure même de son cerveau et, surtout, une petite molécule dont le rôle crucial vient d’être identifiée. Et ce n’est pas tout. Car la foi apparaît vitale contre l’anxiété, au point que les croyants vivent mieux et plus longtemps que les autres ! Dans ces conditions, le sentiment religieux n’est pas prêt de s’éteindre…
I – Notre cerveau est programmé pour croire
Des travaux en neurobiologie le montrent : structure, chimie, cognition… tout dans le cerveau pousse les êtres humains à croire. Mieux : une « molécule de la foi » aurait été identifiée !
Croire en Dieu ? En général, c’est le mot « Dieu » qui retient l’attention, focalise les débats. Comme si le fait de « croire » était une disposition parfaitement admise, pour ne pas dire naturelle chez l’homme. Et justement, c’est le cas ! Depuis quelques années, en effet, des travaux menés aussi bien par des neurobiologistes que par des spécialistes de la cognition montrent que l’étonnante aptitude humaine à croire en quelque chose de supérieur trouve sa source, non au ciel, mais dans le cerveau. Car à la lumière des outils d’imagerie cérébrale, l’encéphale apparaît rien moins qu’idéalement structuré pour qu’on adhère à l’idée du divin. A tel point que l’on peut parler d’une véritable prédisposition chez l’homme au sentiment religieux. Mieux, les processus cérébraux qui sous-tendent cette mystérieuse faculté commencent à livrer leurs secrets. Avec une surprise de taille : la découverte du rôle crucial d’une petite molécule chez ceux qui ont la foi !
La neuro-théologie à l’œuvre
Cette découverte, on la doit à une poignée de neurobiologistes qui ont entrepris de lever le voile sur cette Unio mystica que sainte Thérèse d’Avila, au XVIe siècle, fut probablement la première à décrire dans le détail : « C’est une sorte d’évanouissement qui enlève peu à peu la respiration et toutes les forces du corps. En vain voudrait-on parler, on ne pourrait former une parole, et si on y arrivait, on n’aurait même pas la force de la prononcer. Car toute la force extérieure vient à cesser, mais la force intérieure grandit. C’est l’état de deux choses qui étaient divisées, et qui n’en font plus qu’une ».
Mais cette extatique sensation de fusion avec Dieu n’est pas l’apanage des chrétiens : les moines bouddhistes connaissent les mêmes transports lorsqu’ils méditent, de même les soufis, ces mystiques musulmans, lorsqu’ils entrent en communion avec le divin lors de séances de transes. Extrêmes, ces phénomènes de « fusion mystique » n’en sont donc pas moins universels et, de là, ont commencé d’être étudiés comme n’importe quelle autre manifestation humaine.
Une quête qui s’inscrit dans des recherches plus générales sur les sentiments religieux et qui a ouvert la voie à une nouvelle discipline, appelée « neuro-théologie », dont « l’objectif est d’identifier les mécanismes cognitifs qui régissent la croyance en Dieu, précise le neurobiologiste Andrew Newberg, directeur de la Clinique de médecine nucléaire de l’université de Pennsylvanie (Etats-Unis), et pionnier de ce nouveau champ scientifique. Bien sûr, la définition de Dieu que nous utilisons n’est pas celle des théologiens, qui réfléchissent de façon précise sur la nature et les attributs de Dieu. Pour nous, il est simplement défini comme une entité supérieure, souvent invisible, et à l’origine du monde ».
Des résultats spectaculaires
Ces recherches des neuro-théologiens, voilà justement qu’elles livrent leurs résultats. Certes, ils demandent encore à être approfondis, mais ce qu’ils révèlent est d’ores et déjà spectaculaire : au cœur de la propension à la foi, il y aurait… la sérotonine, une substance qui, dans le cerveau, transmet l’information d’un neurone à l’autre (on parle de neurotransmetteur) et dont on sait déjà qu’elle est impliquée dans les sensations de faim, de soif et de sommeil.
Une véritable découverte, qui a tenu à une intuition surgie au début des années 2000. A cette date, en effet, les neuro-théologiens prennent connaissance de travaux n’ayant en apparence rien à voir : ceux, menés par des biologistes dans les années 90, sur les effets sur le cerveau des drogues dites « psychédéliques » (LSD, etc.). Or, ces recherches indiquent que la sérotonine est susceptible d’engendrer des états similaires à ceux produits par ces drogues, telles que modifications de la perception sensorielle, hallucinations, sensation de fusion avec le monde… soit ni plus ni moins les sensations que les mystiques disent éprouver au cours de leurs états extatiques.
« Il se trouve que le cerveau réagit aux molécules du LSD et de la psylocine (molécule présente dans un champignon hallucinogène) comme s’il s’agissait de la sérotonine, car leurs structures moléculaires sont très proches de cette dernière, explique le biologiste Olivier Cases (Unité Inserm de la Pitié-Salpêtrière de Paris). Du fait de cette ressemblance, cela permet à ces drogues d’induire artificiellement une libération massive de glutamate, un neurotransmetteur qui assure la transmission des informations sensorielles, cela en se faisant donc passer pour de la sérotonine ».
Ce qui, au final, provoque des altérations de perceptions… De là à supposer que les expériences mystiques « naturelles », c’est-à-dire sans l’influence de drogues, pouvaient être sous-tendues par la sérotonine, il n’y avait qu’un pas.
Encore fallait-il le montrer ! Et depuis 2003, une étape cruciale a justement été franchie dans ce sens. Sous la houlette de la neurobiologie Jacqueline Borg et de son équipe (université Karolinska de Stockholm, Suède), une expérience impliquant 15 volontaires a établi que la propension à voir le monde comme habité par le divin – une tendance baptisée « religiosité » par les chercheurs – dépend effectivement du taux de sérotonine.
La sérotonine démasquée
Plus précisément, en scrutant le cerveau de leurs volontaires via la technique de tomographie à émission de positons (TEP), l’équipe suédoise a mise en évidence le rôle de certains récepteurs chimiques, appelés 5HTIA. Situés sur une catégorie de neurones dits « sérotoninergiques », ces récepteurs ont l’art d’abaisser la quantité de sérotonine libérée dans le cerveau. Or, il est apparu que plus la quantité de ces récepteurs 5HTIA était faible, et donc plus le taux de sérotonine était élevé, plus la religiosité était avérée. C’est-à-dire que dans ce cas, « les sujets étaient enclins à appréhender les difficultés de la vie en développant l’idée qu’une présence divine existe dans le monde. Ils disaient également souvent avoir vécu des expériences mystiques. Ou bien encore, ils croyaient aux miracles ou à l’existence d’un sixième sens ». Ainsi donc, un taux élevé de sérotonine dans le cerveau accroîtrait le degré de religiosité !
Question : comment ces chercheurs ont-ils fait pour évaluer cette fameuse religiosité ? Simple : ils ont emprunté un outil fréquemment utilisé par les psychiatres pour déterminer les grandes tendances de la personnalité de leurs patients. A savoir le Temperament and Character Inventory (TCI), un inventaire composé de 238 questions qui permet d’évaluer l’importance chez l’individu de 25 aspects fondamentaux de la personnalité humaine, telles que l’impulsivité, la dépendance vis-à-vis des autres, la crainte de l’inconnu, etc.
Or, « dans ce questionnaire, il y a une série de questions destinées à évaluer le degré de religiosité des sujets, du style vous êtes-vous déjà senti en contact avec une présence spirituelle divine ? ou des expériences religieuses vous ont-elles aidé à comprendre le sens de votre vie », rapporte Jacqueline Borg. Et la dimension troublante du résultat obtenu par les chercheurs suédois apparaît dès lors pleinement lorsqu’on apprend que, parmi les 25 aspects de la personnalité des volontaires évalués par le TCI, la religiosité se révéla être… le seul et unique paramètre corrélé avec la densité des récepteurs 5HTIA !
La conséquence de cette découverte peut sembler sacrilège. Car pour Jacqueline Borg, une conclusion s’impose désormais : « Le système de production de la sérotonine pourrait bien être vu comme l’une des bases biologiques de la croyance religieuse, même si le résultat de l’étude doit encore être précisé avec des travaux menés sur un panel de volontaires plus large ».
La « molécule de la foi »
Est-ce à dire qu’aurait été découverte la « molécule de la foi » ? « Certainement pas, répond en souriant la biologiste Catherine Belzung, de l’université de Tours. Si la croyance en Dieu peut certes être favorisée par l’action d’une molécule comme la sérotonine, elle ne peut en aucun cas se résumer à l’action exclusive de cette dernière ». Et du reste, Jacqueline Borg ne le nie pas : « Une étude allemande menée en 2002 suggère que d’autres neurotransmetteurs pourraient être impliqués dans la religiosité : les opioïdes, qui sont connus pour jouer un rôle important dans la sensation de douleur. Car comme pour le LSD et la sérotonine, il s’avère que les drogues opiacées, telles la morphine ou l’opium, qui miment l’action des opioïdes naturellement sécrétés par le cerveau, modifient les perceptions sensorielles ». Il n’empêche, si on croit, c’est bien parce que le cerveau y programme chimiquement les êtres humains. Mais pas seulement…
De fait, l’étrange phénomène de la croyance ne se joue pas seulement au niveau moléculaire. Plutôt que de scruter la chimie du cerveau, d’autres neuro-théologiens ont en effet travaillé sur sa structure. Et là encore, ils ont obtenu de troublants résultats en identifiant certaines aires cérébrales indubitablement impliquées dans la sensation d’une présence divine. Des travaux qui ne peuvent pas encore être reliés à ceux menés sur le rôle des neurotransmetteurs, mais qui apportent une pièce de plus en vue de reconstituer le puzzle complexe de la cognition religieuse.
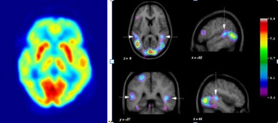
Concrètement, ces recherches ont mis en évidence une zone corticale bien précise située dans la partie arrière haute du crâne : le cortex pariétal supérieur. Et pour cause : le fameux sentiment de fusion mystique d’avec le monde apparaît d’autant plus manifeste que l’activité de cette zone est ralentie. C’est une célèbre expérience d’imagerie cérébrale menée en 2001 par le neurobiologiste Andrew Newberg qui l’a démontré.
En analysant par TEP l’activation cérébrale de huit moines tibétains bouddhistes immergés, via une technique de respiration spécifique, dans un état de méditation connu pour déboucher sur cette sensation de symbiose, le neurobiologiste a découvert sur son écran un étrange phénomène : plus la méditation semblait profonde, plus la zone du cortex pariétal supérieur du cerveau… s’assombrissait. Signe d’une chute de l’irrigation sanguine, donc d’une baisse d’activité. Pourquoi cette zone ? Andrew Newberg a une explication : « L’une des fonctions du cortex pariétal supérieur est de permettre à l’individu d’effectuer la distinction entre son corps et l’environnement et de s’orienter dans l’espace. Ce qui expliquerait, lorsque son activité se ralentit, l’émergence d’altérations de la perception spatiale et de la sensation de fusionner avec l’Univers ».
Et il n’y a pas que le cortex pariétal supérieur ! « D’autres travaux indiquent que c’est probablement tout un réseau cérébral qui est mobilisé, décrit Andrew Newberg. Par exemple, les recherches menées dans les années 1990 par le neuropsychologue américain Michael Persinger suggèrent que la stimulation électromagnétique des lobes temporaux, ces aires localisées au niveau des tempes, déclencherait la sensation d’avoir à ses côtés une présence invisible. Ces aires pourraient donc elles aussi être impliquées dans l’aptitude à ressentir une présence divine ». Fort de ces constations, Andrew Newberg a entrepris d’identifier dans ses moindres recoins cet étrange réseau cortical. Avec l’espace de dresser bientôt une véritable cartographie cérébrale de la foi.
Tous ces travaux le disent : l’être humain semble parfaitement programmé pour croire en Dieu et chacun des êtres humains hérite d’un cerveau naturellement enclin à produire le sentiment que le monde est habité par une entité supérieure. Sans compter que même les gènes pourraient avoir leur mot à dire. Oui, mais d’autres chercheurs, issus cette fois de l’anthropologie cognitive, une discipline qui étudie les relations entre la culture et les structures cognitives, postulent que l’encéphale est en plus très bien structuré pour adhérer à cette idée… lorsqu’elle est racontée par autrui.
Pour comprendre, il faut revenir à des travaux de psychologie cognitive entamés sur de très jeunes enfants il y a une quinzaine d’années. En 1992, la psychologue américaine Karen Wynn, de l’université Yale (New Haven, Etats-Unis), a l’idée de présenter à des enfants de 4 mois des marionnettes sur une petite scène de théâtre. Et découvre qu’ils sont capables, dès cet âge, de savoir qu’une marionnette ne peut pas se trouver en deux endroits en même temps, comme elle ne peut pas soudainement disparaître.
A la même époque, « d’autres travaux menés par les psychologues américains Henry Wellman et Susan Gelman montrent qu’avant leur première année, les enfants sont capables de savoir qu’un homme ne peut pas se transformer en un animal ou un objet, précise Dan Sperber, directeur de recherche à l’Institut des sciences cognitives Jean Nicod (CNRS, Paris). Intuitivement, ils rangent les êtres humains dans des catégories bien distinctes de celles des animaux ou des objets ». Pas de doute, l’homme possède de façon innée une perception du monde qui la part du « naturel » et du « surnaturel ».
Un terreau pour la croyance
Ce qui, pour Dan Sperber, montre une fois de plus que notre encéphale est un terreau fertile pour les croyances religieuses. Car celles-ci ne peuvent dès lors s’expliquer que si le cerveau est équipé d’un mécanisme psychologique inné qui, in fine, rend les êtres humains particulièrement sensibles aux idées stipulant l’existence de divinités : « Les croyances religieuses mettent en scène des personnages dotés de pouvoirs surnaturels : entité divine invisible, dotée du don d’ubiquité, ou bien encore capable de se matérialiser en un animal ou un objet. Or, cela viole des notions intuitives dont nous héritons dès la naissance ». Et comme la perception intuitive du réel est innée, sa transgression par les croyances religieuses provoque une réaction émotionnelle forte. Autrement dit, le seul fait de les évoquer contredit à ce point l’entendement qu’on est conduit à leur attribuer un pouvoir explicatif supérieur. Au final, c’est tout naturellement qu’on est donc enclin à croire en Dieu.
Chimie, structure, cognition… le cerveau prépare donc chacun des êtres humains à adhérer à l’idée de Dieu. Est-ce à dire que ce dernier n’est qu’une création du cerveau ? « Ce que tous ces travaux mettent en évidence, c’est que nous sommes très bien équipés cognitivement pour croire, précise Andrew Newberg. En revanche, ils ne se prononcent en aucun cas sur l’existence effective d’un dieu ». Lequel reste donc pour la science une ultime question à laquelle elle ne peut nullement répondre…
Lisez la troisième partie de cet article
yogaesoteric
2 novembre 2019
Also available in:
