La migraine – modalités de guérison
Par dr.Cristian Boerescu
La migraine est un des troubles neurologiques les plus fréquentes, touchant plus de 8% de la population et causant, par le biais de ses implications sociales, d’importantes pertes économiques.
Les personnes souffrant de cette maladie apparemment trivial (bénigne) savent très bien que, même si personne n’est mort à cause de migraine, sa douleur exaspérante « comme un marteau qui frappe sur la tête » transforme la réalité en cauchemar, pouvant provoquer de vraies dépressions et drames existentielles. Par définition, la migraine est une céphalée vasculaire intense, lancinante qui se produit régulièrement, généralement sur un seul côté de la tête, accompagnée par des nausées, vomissements, photophobie. Précédée par une période de 10 à 60 minutes de phénomènes visuels et sensoriels, peut s’étendre à l’agitation et même amnésie rétrograde, manifestations qui peuvent affecter toute la vie du malade.
Qui est le plus sujette à la migraine?
Plus fréquente chez les femmes (ratio femmes: hommes = 3:1), les intellectuels et la population urbaine. Il existe une prédisposition génétique dans 70% des personnes qui souffrent d’épilepsie (récemment, une équipe de scientifiques de l’Hôpital Saint-Antoine, Paris, a isolé sur le chromosome 19 le gène « de la migraine hémiplégique familiale », la forme de maladie la plus invalidante).
La personnalité des sujets prédisposés à la migraine bascule entre l’ambition obsessionnelle d’affiner les choses et le mécontentement, inavoué, de ne pas avoir pu y parvenir. La frustration répétée entraîne, sur la base de la loi yogi de la résonance, un état d’anxiété qui enkyste, tourmente (le « Club de la migraine et de la céphalée » en France a montré en 1989 qu’un patient sur trois était plus anxieux et perfectionniste que la moyenne) et, simultanément, des modifications somatiques synchrones (vasoconstriction) qui sous-tendent l’installation migraine.
Franz Alexander a constaté que, par psychanalyse, il a été révélé à ces sujets, l’existence de certaines impulsions intérieures hostiles et destructrices qui génèrent en temps un phénomène d’inhibition qui trouve la solution seulement dans la crise.
Facteurs déclencheurs
Dans 60% des cas, il n’y a pas de facteur déclencheur apparent. Toutefois, chez la plupart, les accès de migraine sont favorisées par: effort physique, exposition au froid, vent, voyages, la hauteur, une surcharge psychique, effort mental excessif, le stress émotionnel puissant. La crise survient le plus souvent le week-end ou au début des vacances, d’après les médecins britanniques, en particulier chez les buveurs de café. D’après le professeur Dr R.A. Professeur Hope J.M. Longmore (Oxford), les fromages fermentés et le chocolat sont responsables de la survenue des crises. Après des études complémentaires sont mis en cause des aliments tels que: les conserves de poisson, la chasse, les boissons alcoolisées, qu’il soit consommé avec modération, les préparas culinaires à base de viande qui contient en abondance des colorants alimentaires, les matières grasses, les aliments très froids et, paradoxalement, certains fruits comme les agrumes, les raisins, l’utilisation de contraceptifs stéroïdiens.
La migraine peut aussi se produire pendant les périodes prémenstruelles et en cas de déséquilibres hormonaux chez les femmes parce que les vaisseaux sanguins sont très sensibles aux changements hormonaux à la fin des menstruations (à la ménopause 60-70% des patients sont « soulagés » de cette souffrance, pour d’autres les choses restent en même état ou s’accentuent). Le traitement hormonal allopathique peut parfois soulager la douleur, mais souvent il en fait pire.
Le mécanisme de la migraine
Sont connus trois stades du trouble vasomoteur:
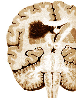
1. Tout commence par un spasme artériel (photo 1) qui réduit le débit sanguin à une partie du cerveau. A ce moment le patient voit flou, effacé, il perçoit dans le champ visuel des taches noires ou des points lumineux (corps flottants), mais la douleur n’a pas encore paru. On enregistre une libération de catécholamines (hormones du stress) de la glande surrénale.
2. Puis, rapidement, cette artère qui a été soumise à la vasoconstriction se dilate et le flux sanguin augmente, entraînant une vraie congestion locale – une phase de vasodilatation (photo 2). Maintenant vient la douleur, sourde ou pulsatile (comme les coups de marteau). S’il y a aussi des symptômes digestifs (nausées ou vomissements), ils sont la conséquence de l’irritation d’un certain centre corticale et ne sont pas liés à un trouble digestif.
3. Ensuite, la phase finale de l’œdème (photo 3) où se produit une inhibition des parois des artères du cuir chevelu et une infiltration œdémateuse cérébrale (diffusion du sang à travers les parois des vaisseaux sanguins dans le tissu nerveux), ce qui
explique la somnolence, l’apathie et de fatigue vers la fin de crise de migraine.
Les médicaments sont pris toute la vie?
Jusqu’à présent, la médecine allopathique n’a pas trouvé la solution de guérir cette maladie, elle ne peut améliorer que les symptômes en crise. Sont administrées des substances anti-inflammatoires (aspirine, paracétamol, même prednisone), des vasodilatateurs (ergotamine, Sumatripan, Redergin et Secatoxin), métoclopramide, des anticonvulsivants, des hormones, etc. agissant seulement sur un œillet de la chaîne complexe d’événements symptomatiques, plutôt que sur la cause concrète de la maladie. Les gens dans la détresse le savent mieux que, malgré le prix élevé, les médicaments ont un effet limité et parfois contradictoire, ils luttent avec la migraine tout au long de leur vie. En outre, le professeur Dr. R.A. Hope et le Dr J.M. Longmore à l’Université d’Oxford souligne que c’est le devoir du médecin (et du pharmacien) d’avertir le patient sur les risques liés à la prise de médicaments. Par exemple, l’ergotamine et ses dérivés produisent de la gangrène et des destructions vasculaires permanentes et les Sumatripan peuvent provoquer une crise d’angine, arythmie, voire une insuffisance rénale aiguë. La guérison de la migraine ne signifie pas seulement arrêter la crise, mais aussi éviter sa répétition, mais sans que le patient devient dépendant des médicaments à prendre indéfiniment.
La myothérapie confirme la valeur thérapeutique du système de HATHA YOGA
Dr. Jan Polak, président de la Société internationale de la myothérapie, considère qu’il est tout à fait possible de réaliser le traitement de fond de la migraine et des autres céphalées d’une manière simple, gratuit et à des effets durables. Les observations cliniques réalisées sur des individus souffrant de migraine ont révélé l’existence de douleurs cervicales et des troubles circulatoires cérébraux dans la crise.
À la suite de mauvaises habitudes ou des traumatismes (chocs), de nombreuses personnes ont été retrouvées avec une position défectueuse de la tête et de la colonne cervicale au travail, au bureau ou dans la rue. Il se produit une contracture persistante de certains muscles, qui peut être maintenue pendant des années, parfois pour la vie.
Dans certaines circonstances (énumérées ci-dessus), cette contracture provoque un déplacement anormal des vertèbres cervicales et des os de la tête, ce qui exerce une pression sur les vaisseaux sanguins cérébraux, ce qui ralentit le flux sanguin (photo 4). Il se crée un déficit en oxygène, qui est déjà en mesure de générer la migraine.
L’organisme se trouve contraint de prendre des mesures urgentes pour augmenter l’apport d’oxygène avant que des perturbations sérieuses se produisent dans le cerveau. Ceci est réalisé par un afflux de sang artériel, déclenché par des mécanismes réflexes. Mais, comme la sortie du sang du crâne est toujours bloquée à cause de la contraction, cela va entraîner de l’hypertension intracrânienne et donc, d’ici la sensation de douleur insupportable.
Les choses peuvent se calmer un laps de temps après la médication, mais comme la principale cause – la vieille contracture musculaire – persiste, la récidive de la crise est inévitable dès que l’un des facteurs déclencheurs survient.
La myothérapie est une technique manuelle douce avec plusieurs indications thérapeutiques. Il doit d’abord déterminer quels muscles doivent être traités. Ensuite, le thérapeute va placer doucement votre tête dans une position particulière qui permet l’élimination par voie réflexe dirigée de l’ancien spasme musculaire. Le patient adopte une attitude passive. Il ne s’agit pas de mouvements actifs, mais seulement des manœuvres douces, sans rien forcer, sans faire appel à n’importe quelle position contre nature, les mouvements de la tête ne sont que ceux que nous réalisons normalement. L’ancien spasme musculaire sera alors supprimé, la cause originelle de la migraine cesse et le patient n’aura plus des crises.
Ces allégations se sont avérées statistiquement par la contribution de dizaines de médecins. Ainsi, des 44 patients traités par plusieurs séances de myothérapie et réévalués 10 mois après le traitement, 73% n’avaient plus de crises et de presque tous les autres avaient constaté une nette diminution de leur nombre. Des pourcentages similaires ont été obtenus par une seconde étude, plus vaste, qui comprenait 155 patients.
Voici comment la recherche scientifique moderne confirme l’intérêt thérapeutique des postures de Hatha-yoga, qui, par leur spécificité, visent à éliminer le stress et favoriser la relaxation musculaire, en principal, et la dynamisation des fonctions des organes, en général. Le contrôle permanent de la posture et la prise de la conscience sur ses effets se retrouvent dans les systèmes de culture physique médicale.
Exercices de Hatha-yoga
Notre recommandation dans le cas des migraineux serait l’exécution quotidienne pour une heure d’un ensemble complet de cinq exercices d’échauffement pour la tête et le cou, le premier d’entre eux, la rotation lente de la tête, est représenté dans la figure à côté. Ces exercices peuvent être appris dans le cadre du cours de yoga par correspondance, recevant ainsi les cours imprimés qui présentent les exercices d’échauffement et des postures de Hatha Yoga, soit à partir d’un instructeur de yoga ou un cadre médical avisé. Leur pratique constante, en particulier pendant les périodes entre les crises, par des mécanismes réflexes dirigés, empêche l’apparition de la crise, comme démontré ci-dessus.
Diétothérapie
Le déséquilibre alimentaire, les carences nutritionnelles en énergie naturelle crée un vide qui nuit au système neurovégétatif du patient.
Évitez les aliments incriminés dans la production de la migraine et pour tonifiez votre système nerveux nous vous recommandons:
– céleri (râpé) 50g/jour
– 100g/jour carotte
– 100-200g/jour entièrement blé moulu
– 100ml/jour lait de chèvre
– pollen 20g/jour
Phytothérapie
Certaines plantes médicales ont un effet vasodilatateur cérébral et action spécifique antimigraineuse: la chélidoine, camomille, primevère, aubépine, tilleul, romarin, basilic, pivoine, l’angélique, églantier. Les plantes vont être finement moulues à l’aide d’un moulin à café électrique. Mélangez des quantités égales de 5 plantes (100 g de chacun). Administration: 1 c. à thé (5 g) de chaque mélange de cinq plantes, 4 fois par jour. Prenez par voie sublinguale 15 min. puis l’avalez avec de l’eau et passez au mélange suivant.
Acupuncture et l’acupressure
Ces méthodes peuvent être utilisées pour traiter la migraine en termes de prévention, le traitement est effectué avec un thérapeute agréé. Les points massées dans le sens inverse aux aiguilles de montre sont les suivants: VG20 – sommet du crâne; S8 – deux doigts au-dessus et en dehors de l’extrémité des sourcils, à la limite d’insertion des cheveux; VB8 – un doigt au-dessus du pavillon de l’oreille, VB20 – sous l’occipital, la cavité située entre l’insertion des muscles trapèzes et du muscle sterno-cléido-mastoïdien; Extra6 – 4, points situés dans les sommets d’un losange, à un doigt de VG20 (couronne) C7 – sur le côté intérieur de l’os pisiforme, sous le pli du poignet.
Rotation de la tête
Debout (ou assis), le dos droit, les yeux fermés. Tournez la tête à droite, lentement, mettant l’accent sur le mouvement. Ne forcez pas. Ce renversement doit se produire naturellement. Répétez l’opération du coté gauche le même nombre de fois. Nous recommandons cet exercice pour une durée de 7 fois dans un sens et dans l’autre sens, sept fois par jour. Après quelques jours, augmentez progressivement à 21 exécutions de chaque côté, puis augmentez à 28 (toujours ajouter que 7 exécutions), jusqu’à atteindre 50 exécutions de chaque côté.
Chromothérapie
L’exposition du corps pour 60 min. par jour (30 min. le matin / 30 min. le soir) à un flux de lumière verte (un jour) et puis bleu (deuxième jour).
Sonothérapie – voyelle « I »
La sonothérapie est une technique de guérison utilisant l’émission sonore de certaines voyelles ou des sons spéciaux. Il est conseillé d’effectuer cette technique au moins deux heures après avoir mangé. Nous sommes assis, la colonne vertébrale est bien droite. Après une inspiration complète, prononcez à haute voix, avec intonation, le son « I », réalisant ainsi une expiration prolongée, jusqu’à épuisement complet de l’air des poumons. La technique est réalisée pendant 10-15 minutes par jour dans un état d’introspection. À la fin de la technique, il est nécessaire de détendre tout votre corps pendant plusieurs minutes.
Article extrait de la revue YOGA MAGAZIN n° 10
Yogaesoteric
2011
Also available in:
