How to Train the Brain for Greater Willpower
Have you ever wondered why some people find it so hard to stick to their commitments? Recent research has some surprising answers that might modify how we look at willpower.
Scientists found a significant portion of our ability to control ourselves and resist temptations is genetic. This means that for some of us, keeping those commitments is naturally tougher. But the good news is that we can train our brains to develop greater willpower.
A recent meta-analysis found genetics can significantly influence how much willpower a person has. The research, which looked at data from over 30,000 twins from different countries, suggests about 60% of our ability to control ourselves is inherited.
Lisa Feldman Barrett’s team, in a recent review paper, suggests that we can improve our low tenacity. They offer evidence that the anterior mid-cingulate cortex (aMCC) plays a crucial role in managing our tenacity and willpower.
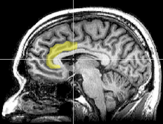
The aMCC is a brain structure that sits in the anterior (or front) medial portion of the brain between the two hemispheres and wraps around the head of the corpus callosum.
The aMCC acts like a control center in the brain, involved in making decisions about what actions are worth our effort in terms of the energy we need to spend versus the rewards we might gain. It’s connected to many parts of the brain, helping it to process information about how our body feels, make plans, and decide what to pay attention to. This makes the aMCC key in preparing us for action and efficiently using our energy to achieve what we want.
The research shows that the aMCC is linked to various behaviours: it’s associated with reduced feelings of not wanting to do anything (apathy), with grit and determination, and with deciding to keep going even when it gets tough. Essentially, it’s involved in weighing the effort required against the potential reward and pushing through challenges.
The researchers also found that we can boost our tenacity and willpower by training our aMCC.
To strengthen the aMCC and boost our willpower, we should take on challenging activities that are not part of our regular routine. Whether it’s adding one more asana to our daily hatha yoga practice, learning to play a new instrument, or picking up a new language, engaging in challenging tasks can strengthen the aMCC.
The beneficial challenges can help increase the aMCC’s capacity, enhancing our overall willpower in any domain.
yogaesoteric
September 6, 2024