„Nu am văzut niciodată așa ceva în 20 de ani”. Mărturia unui neurolog pediatru din SUA, care a observat o creștere uriașă a cazurilor de infecții cerebrale la copii
Oficialii din domeniul sănătății investighează un număr tot mai mare de abcese cerebrale la copii, observate pentru prima dată în Las Vegas, dar care au început să apară și în alte părți ale țării, relatează Daily Caller.

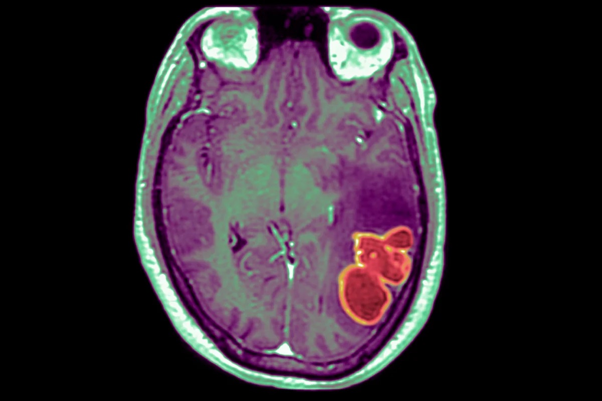
Dr. Taryn Bragg, profesor asociat la Universitatea din Utah și singurul neurochirurg pediatru pentru statul Nevada, a început să observe o creștere mare a cazurilor de infecții cerebrale în rândul copiilor începând cu luna martie 2022. „Vedeam un număr mare de cazuri și asta este neobișnuit”, a declarat Bragg pentru CNN într-un reportaj recent.
În această perioadă, numărul de abcese cerebrale la copii s-a triplat în Nevada, crescând de la o medie de patru-cinci pe an la 18, a relatat postul. Fiind singurul medic care tratează aceste cazuri în statul Nevada, Bragg a luat act de această creștere neobișnuită și a anunțat autoritățile de sănătate publică.
„În experiența mea de 20 de ani, nu am văzut niciodată așa ceva”, a declarat Bragg pentru CNN.
Bragg a dezvăluit că toate cazurile au început în mod similar, pornind de la o afecțiune comună, cum ar fi o durere de urechi sau o infecție a sinusurilor. În decurs de o săptămână, însă, era evident că acei copii sufereau de ceva mai grav.
Observațiile lui Bragg din Nevada au fost prezentate la Conferința Serviciului de Informații Epidemice din 27 aprilie, unde medici din alte părți ale țării au dezvăluit că observă, de asemenea, o creștere a numărului de abcese cerebrale care afectează copiii, potrivit CNN.
„Suntem pur și simplu impresionați de numărul acestora pe care îl vedem acum”, a declarat pentru CNN dr. Sunil Sood, specialist în boli infecțioase pediatrice din New York. Conform estimărilor lui Sood, unitatea lor medicală vede cel puțin de două ori mai multe infecții cerebrale pediatrice decât de obicei, deși recunoaște că nu au un număr oficial de cazuri. Cu toate acestea, Sood a îndemnat CDC să investigheze problema și să răspândească vestea în rândul comunității medicale, a precizat postul.
Sood crede că boala covid-19 a dislocat temporar alte infecții. Acum, când cazurile de covid-19 au început să scadă, alte boli au revenit „în forță”, ceea ce ar putea explica creșterea numărului de infecții cerebrale. Deoarece abcesele cerebrale sunt de obicei cauzate de un procent foarte mic de infecții ale sinusurilor și de infecții ale urechii interne la copii, creșterea acestor infecții ar crește în mod logic numărul de infecții cerebrale observate, a motivat Sood.
Bragg a precizat că a tratat două cazuri noi de abcese cerebrale pediatrice în acest an, deși se pare că incidența cazurilor noi încetinește. Dr. Jessica Penney, un ofițer al Serviciului de informații epidemiologice al CDC, a asigurat că CDC va continua să monitorizeze situația pe tot parcursul anului, a relatat CNN.
Citiți și:
Un judecător s-a pronunțat în favoarea unui tată care a vrut să-și împiedice copiii să primească vaccinul anti-covid
Vaccinul ROR, o crimă împotriva copiilor
yogaesoteric
14 iunie 2023