Nou studiu prezintă „dovezi incontestabile” că vaccinurile anti-covid cu ARNm provoacă leziuni vasculare și ale organelor
Un studiu recent, prezentat de The Epoch Times, oferă „dovezi de necontestat de cauzalitate”, potrivit cărora vaccinurile ARNm provoacă leziuni vasculare și în organe.

Studiul, realizat de microbiologii dr. Michael Palmer și dr. Sucharit Bhakdi, s-a bazat în mare parte pe constatările patologilor germani dr. Arne Burkhardt și dr. Walter Lang.
Iată un rezumat al constatărilor:
- Vaccinurile ARNm nu rămân la locul injectării; conținutul ajunge în tot trupul și se acumulează în diferite organe.
- Vaccinurile anti-covid pe bază de ARNm induc expresia de lungă durată a proteinei Spike SARS-CoV-2 în multe organe.
- Expresia indusă de vaccin a proteinei Spike cauzează inflamație asemănătoare celei autoimune.
- Inflamația indusă de vaccin poate provoca leziuni grave ale organelor, în special în vase, uneori cu consecințe letale.
„Acest studiu prezintă dovezi incontestabile că proteina Spike ajunge peste tot – în inimă, ovare, ficat, splină – și, într-o măsură mai mică, în testicule. Acest fapt duce la deteriorarea sistemului multiorganic și la infertilitate la femei”, a declarat pentru The Epoch Times dr. Sherri Tenpenny, expert în efectele adverse ale vaccinurilor.
„Aceia dintre noi care au avertizat cu privire la pericolele prezentate de aceste vaccinări anti-covid au fost cenzurați și ridiculizați pe scară largă. Mi-aș fi dorit să ne fi înșelat. Însă nu ne-am înșelat. Și avem dovezi ce nu pot fi contestate”, a declarat pentru The Epoch Times dr. Christiane Northrup, fost membru în Colegiul American al Obstetricienilor și Ginecologilor.
De asemenea, potrivit toxicologului Janci Lindsay, care a urmărit de la început problemele referitoare la vaccin, cea mai valoroasă concluzie este că acest studiu confirmă descoperirile lui Markus Aldén și colab. (in vitro) că vaccinul Pfizer împotriva covid-19 poate fi transcris în ADN celular – într-un sistem in vivo.
In vitro, termen care, în latină, înseamnă „în sticlă”, se referă la un test sau un proces efectuat într-o eprubetă sau în afara unui organism viu. In vivo („în cadrul materiei vii”) înseamnă că studiile sunt efectuate în organismele vii.
Faptul că vaccinul se distribuie rapid prin organism a fost o descoperire în experimentele proprii ale Pfizer pe animale.
„Subiectul era decedat, dar examinarea țesutului acestuia a arătat că exprima proteina Spike la nouă luni după injectarea vaccinului genetic”, a declarat Lindsay pentru The Epoch Times.
Potrivit lui Lindsay, singurele trei cazuri posibile în care s-ar putea petrece aceasta sunt atunci când:
– ARNm modificat rămâne stabil în organism timp de nouă luni.
– ARNm a fost integrat în genom, cum arată studiul lui Aldén.
– Persoana s-a aflat în preajma cuiva care a fost vaccinat recent și ARNm a fost transmis.
Studiul lui Palmer și Bhakdi susține că „studiile experimentale limitate disponibile (2015, 2018)” indică faptul că ARNm modificat injectat ar urma să se degradeze „în câteva zile până la câteva săptămâni de la injectare”.
Dar „acest fapt este, evident, greu de asociat cu expresia de lungă durată observată; într-o formă sau alta, informația genetică pare să se perpetueze in vivo”, se arată în studiu.
„Descoperirile lor cu privire la expresia [proteinei] Spike la nouă luni de la [primirea vaccinului] susțin fie [ipoteza] integrării genomice a ARNm, care codifică proteina Spike, în genomul celulelor care o exprimă, fie [ipoteza] că ARN-ul mesager modificat sintetic rămâne stabil în aceste celule timp de luni de zile după ce ar fi fost de așteptat să se degradeze. Această expresie constitutivă a proteinei Spike epuizează sistemul imunitar și/sau eventual îl face să nu mai răspundă sau să tolereze proteina Spike, permițând daune uriașe mediate de Spike”, a spus Lindsay.
Metoda
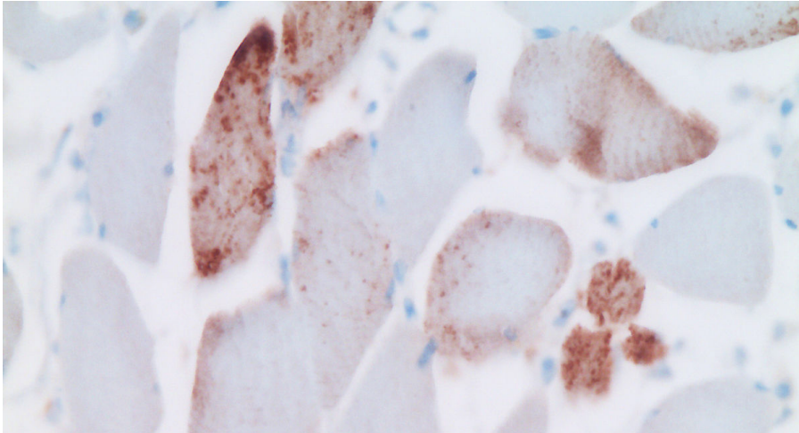
Metodele folosite de dr. Burkhardt se numesc histopatologie și imunohistochimie.
Tehnica este explicată în studiu: „Dacă o particulă de vaccin – compusă din ARNm care codifică Spike, acoperit cu lipide – intră într-o celulă a organismului, aceasta va face ca proteina Spike să fie sintetizată în interiorul celulei și apoi dusă la suprafața celulei. De acolo, poate fi recunoscută de un anticorp specific pentru Spike.”
„După spălarea specimenului de țesut pentru a îndepărta moleculele de anticorpi libere, cele legate pot fi detectate cu un anticorp secundar care este cuplat cu o enzimă, adesea peroxidază [derivată] din hrean. După o altă etapă de spălare, specimenul este acoperit cu un colorant precursor solubil în apă care este transformat de enzimă într-un pigment maro insolubil. Fiecare moleculă de enzimă poate converti rapid un număr mare de molecule de colorant, ceea ce amplifică mult semnalul”, se arată în document.
„Histo” provine din cuvântul grecesc pentru „pânză, țesut”.

„În dreapta sus a imaginii, puteți vedea două celule care au fost expuse la vaccinul Pfizer și apoi supuse protocolului prezentat mai sus. Pata maro intensă indică faptul că celulele au produs proteina Spike”, se arată în studiu, referindu-se la imaginea 3.

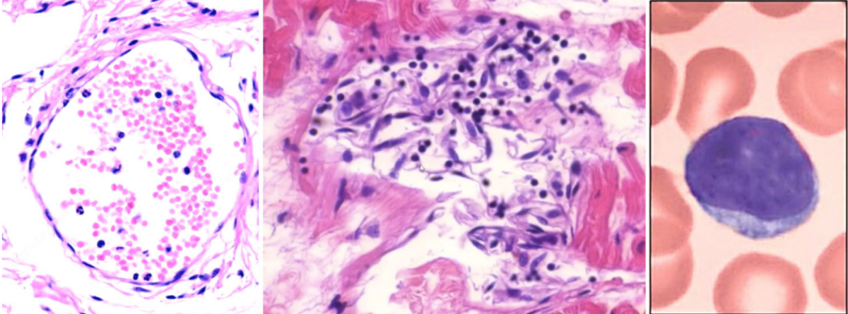
Inflamația vaselor de sânge
Potrivit lui Lindsay, a doua cea mai mare descoperire este observarea leziunilor endoteliale – inflamație și celule endoteliale denudate în interiorul vaselor de sânge.
Endoteliul este țesutul care căptușește vasele de sânge și alte organe, cum este inima.
„Boala cauzată de proteina Spike este o boală endotelială – exact cauza pentru miocardită etc.”, a subliniat dr. Tenpenny.

Dr. Wade Hamilton, un cardiolog care a fost pedepsit de instituția medicală pentru că a acordat o scutire pentru un vaccin covid, a comentat studiul:
„Primele 13 puncte sunt un motiv major de îngrijorare și pledează pentru oprirea utilizării vaccinului anti-covid. Punctul 14 (studiul Aldén), care se referă la posibilitatea ca injecția să poată altera ADN-ul celor care o primesc și, ulterior, ADN-ul descendenților lor, este extrem de îngrijorător”, a declarat Hamilton pentru The Epoch Times.
Burkhardt și Lang
Lucrarea lui Palmer și Bhakdi precizează că Burkhardt și Lang au studiat multe cazuri de persoane care au murit după luni sau zile după primirea vaccinului anti-covid. În toate aceste cazuri, cauza morții a fost menționată ca fiind „naturală” sau „necunoscută”.
Unii membri ai familiilor celor decedați au avut îndoieli cu privire la verdictele privind cauzelor morții acestora și au vrut să verifice încă o dată.
Potrivit studiului, Burkhardt a constatat că „majoritatea acestor decese sunt cauzate de vaccinare”.
Epoch Times a relatat recent că mai mulți îmbălsămători din întreaga țară au observat multe cheaguri mari și uneori foarte lungi, „fibroase” și cauciucate în interiorul cadavrelor pe care le-au tratat și vorbesc despre descoperirile lor. Unii medici consideră că acestea au legătură cu vaccinurile.
Citiți și:
Proteina spike afectează celulele vasculare
O mare bombă. Lucrarea ştiinţifică a Institutului Salk dezvăluie că de fapt proteina covid spike cauzează cheaguri de sânge mortale şi se află în toate vaccinurile covid cu premeditare
yogaesoteric
8 noiembrie 2022