Radiation therapy for cancer causes brain damage, disrupting taste and smell
Doctors have known for some time that radiation treatment for cancers of the head and neck can often result in changes to a patient’s sense of smell or taste, but they have attributed this effect mostly to temporary destruction of taste buds. But according to a study published in the journal Practical Radiation Oncology in July 2013, at least some of the effect may actually be due to radiation-induced brain damage.

Damage to nasopharynx and temporal lobes?
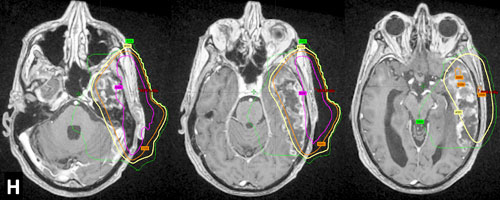
The study was performed on 22 people who were undergoing radiation treatments for a family of brain tumors known as gliomas. 14 participants were being treated for glioblastoma, three for grade 3 gliomas, and five for low-grade gliomas. The researchers conducted a dose-volume histogram analysis in order to estimate how much radiation each patient received to several different regions of the head, including the thalamus, temporal lobes, nasopharynx, olfactory groove, frontal pole and periventricular stem cell niche. Participants were asked to complete a questionnaire assessing any smell or taste disturbances at the beginning of the study (prior to radiation), as well as at three and six weeks after the beginning of radiation treatment.
Twenty of the patients submitted usable questionnaires; of these, half experienced disturbance to the sense of smell at some point during radiation therapy, while 70 percent experienced disruption to the sense of taste. Patients experiencing more severe taste disruption were also more likely to experience severe smell disruption.
The researchers found that an increased radiation dose to the nasopharynx was associated with a significantly increased risk of taste disturbances. Although not technically part of the brain, the pharynx is an organ inside the head that plays important roles in both digestion and respiration. The nasopharynx is the topmost part of this organ and sits just behind the nose.
The researchers further found that, when patients with tumors of the temporal lobes did experience taste disturbances, these disturbances were much more severe than those experienced by other patients. These more severe taste disturbances might have been caused by the tumor itself, or as a side effect of having radiation applied directly to the temporal lobe.
“Radiation-induced taste toxicity appears to be more common in temporal lobe tumors, and may be related to the dose received by the nasopharynx”, the researchers concluded.
A widespread problem
Studies have shown that nearly 85 percent of all patients who undergo radiation therapy to the head and neck experience some form of unpleasant change to the sense of taste. These changes are significantly more common in head and neck cancers than in other forms of cancer.
Changes to taste and smell can manifest as a loss of sensitivity, a distortion of perception (which includes being unable to identify familiar smells/tastes) or even hallucination (such as perceiving smells/tastes that are not actually present).
Beyond the emotional effect that this can have on patients, it may also lead to dangerous changes in dietary patterns, as patients avoid nutritious foods that have taken on an unpleasant smell or taste. Indeed, one study found that 20 percent of poor health in cancer patients could be attributed to malnutrition, rather than to the cancer itself.
The prevalence of this side effect makes it essential that doctors and patients become better educated, according to a study conducted by researchers from Wake Forest University Comprehensive Cancer Center and Virginia Tech and published in The Journal of Supportive Oncology in 2009.
“Oncologists who understand the types and causes of taste and olfactory abnormalities may be better prepared to discuss and empathize with these negative side effects”, the researchers wrote.
yogaesoteric
April 9, 2017