Uimitorul caz al unui băiețel din Australia. Deși îi lipsește cea mai mare parte din cortexul vizual, poate să vadă ca orice persoană sănătoasă

 

Cazul unui băiat de 7 ani din Australia a stârnit uimire în lumea medicală. Deși îi lipsește cea mai mare parte din cortexul vizual, în mod surprinzător, sau poate miraculos, băiețelul poate în continuare să vadă. Este primul caz cunoscut de acest tip din lume și ne face să ne întrebăm cât de multe aspecte știm cu adevărat despre trupul uman.

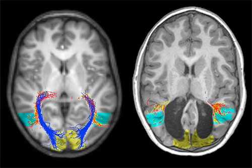
Când avea doar două săptămâni, băiatul a suferit o deteriorare gravă a cortexului vizual – parte a creierului care gestionează impulsurile senzoriale nervoase provenite de la nivelul ochilor – ca urmare a unei tulburări metabolice rare numite deficit de acil-Co-A dehidrogenază cu lanț mediu. Această condiție împiedică țesuturile să transforme anumite tipuri de grăsimi în energie.

Băiatul, denumit doar „B.I.” de cercetătorii de la Institutul de Medicină Regenerativă de la Universitatea Monash care au adus cazul în atenția comunității medicale, a ajuns să vadă fără cortexul său vizual, deși, de obicei, o situație ca aceasta ar duce la orbire corticală, o boală în care creierul obține în continuare informații senzoriale vizuale, dar nu poate procesa ceea ce este perceput, făcând ca persoana să simtă că are vedere, dar nu să și poată vedea. Băiatul, totuși, poate vedea aproape la fel ca orice alt copil de vârsta sa, este capabil să joace fotbal cu ceilalți colegi sau jocuri video și chiar să citească.

Oamenii de știință au studiat acest caz neobișnuit, sperând să înțeleagă ceea ce face unică starea lui B.I..

„În ciuda daunelor corticale occipitale bilaterale întinse, B.I. are abilități vizuale extinse, nu este orb și se poate folosi de vedere la fel ca orice alt om sănătos”, se arată în comunicatul de presă transmis de către medicii australieni.


Citiți și:

Enigme ale creierului: un tânăr australian s-a trezit din comă vorbind fluent mandarina

Important de ştiut – 7 aspecte fascinante despre creier
 

yogaesoteric
5 septembrie 2018

Spune ce crezi

Adresa de email nu va fi publicata

Acest site folosește Akismet pentru a reduce spamul. Află cum sunt procesate datele comentariilor tale.

This website uses cookies to improve your experience. We'll assume you're ok with this, but you can opt-out if you wish. Accept Read More