Studiu exploziv: Ce s-a constatat în urma autopsiei unor adolescenți care au decedat după a doua doză de vaccin anti-covid-19
Un grup de patologi americani, James R. Gill, Randy Tashjian și Emily Duncanson, au realizat un studiu în care au prezentat datele descoperite în urma autopsiei a doi adolescenți care au decedat după a doua doză de vaccin anti-covid-19. Studiul a apărut în Archives of Pathology & Laboratory Medicine, o revistă științifică internațională lunară, supusă procesului de evaluare „inter pares”, publicată de Colegiul Patologilor Americani, fiind cea mai citită revistă de specialitate printre patologii practicieni din SUA.

Investigația a dezvăluit că leziunile cardiace suferite de cei doi tineri în urma vaccinării anti-covid-19 diferă de miocardita tipică, furtuna de citokine având un rol declanșator. De asemenea, cei doi adolescenți nu aveau probleme de sănătate anterioare.
Având în vedere că apar tot mai multe date, din surse oficiale, despre creșterea fără precedent a ratei mortalității în întreaga lume – numărul în exces de decese (inexplicabile) neavând legătură cu covid –, despre creșterea excesivă a numărului bolilor de inimă și cancerelor, astfel de studii și investigații sunt esențiale, iar medicii și instituțiile autorizate au datoria de a le efectua și de a nu trece sub tăcere gravitatea acestei situații. Evidența nu mai poate fi negată.
Irina Bazon a tradus câteva fragmente importante din studiu:
Rezumat:
Context – Miocardita la adolescenți a fost diagnosticată clinic în urma administrării celei de-a doua doze de vaccin ARNm anti-coronavirus 2019 (covid-19).
Obiectiv – Examinarea rezultatelor investigației la microscop cu privire la problemele cardiace în cazul deceselor adolescenților la scurt timp după administrarea celei de-a doua doze de vaccin anti-covid-19 Pfizer-BioNTech, pentru a determina dacă „miocardita” descrisă în aceste cazuri prezintă aspectul histopatologic tipic al miocarditei.
Plan – Investigație clinică și autopsie în cazul a doi adolescenți care au murit la scurt timp după administrarea celei de-a doua doze Pfizer-BioNTech anti-covid-19.
Rezultate – Examenul microscopic a evidențiat caracteristici asemănătoare unei leziuni induse de catecolamine, nu o patologie tipică a miocarditei.
Concluzii – Leziunea miocardică observată la aceste corduri în urma vaccinării este diferită de miocardita tipică și are un aspect similar mai mult cu o cardiomiopatie de stres (toxică) mediată de catecolamine. Faptul de a ști că aceste cazuri sunt diferite de miocardita tipică și că furtuna de citokine prezintă o buclă cunoscută de reacție cu catecolamine poate ajuta în depistare și terapie.
Cazurile de miocardită la adolescenți (în special la băieți adolescenți) au fost raportate după a doua doză de vaccin anti-covid-19 Pfizer-BioNTech.[1-7] Având în vedere că biopsiile cardiace sunt rareori efectuate în cazul unor pacienți stabili clinic, patologia miocardică nu fost clar elucidată.[8] Miocardita este rareori diagnosticată la autopsie în cazul deceselor cauzate de sindromul respirator acut sever SARS-CoV-2.[9,10]
S-a demonstrat o creștere a incidenței miocarditei, deși scăzută, după primirea vaccinului BNT162b2, în special după a doua doză în rândul tinerilor de sex masculin.[11] În plus, s-a constatat că prima săptămână după primirea celei de-a doua doze de vaccin constituie principala fereastră de risc.[11]
Raportăm rezultatele autopsiei, inclusiv constatările în urma analizării la microscop a afecțiunilor miocardice ale celor doi adolescenți băieți care au decedat în prima săptămână după ce au primit a doua doză covid-19 Pfizer-BioNTech. Analiza la microscop arată că nu este vorba de modificările observate în cazul miocarditei tipice. Ea sugerează un rol al furtunii de citokine care poate apărea, declanșând un răspuns inflamator excesiv și o buclă de reacție între catecolamine și citokine.[12]
Biroul din Connecticut al Medicului legist șef (OCME) și Institutul de Medicină Legală din Michigan investighează toate decesele subite și nenaturale din jurisdicțiile lor (…) Au fost efectuate autopsii medico-legale standard, inclusiv examene microscopice și teste toxicologice. (…)
REZULTATE

Sunt prezentate rezultatele autopsiilor celor doi adolescenți care au fost găsiți decedați în paturile lor la 3 și 4 zile după primirea celei de-a doua doze de vaccin anti- covid-19 Pfizer-BioNTech (Tabel 1). Ambii băieți au fost declarați decedați acasă, fără a avea loc încercări de resuscitare.
Adolescentul A s-a plâns de dureri de cap și de tulburări gastrice, dar s-a simțit mai bine până în ziua a treia post-vaccin. Nu a existat niciun istoric de probleme medicale anterioare (a luat amfetamina/dextroamfetamina în timpul anului școlar pentru tulburarea de hiperactivitate și deficit de atenție, dar nu lua în prezent [aceste medicamente]) sau o infecție anterioară cu SARS-CoV-2.
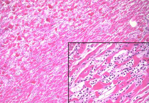
Adolescentul B nu avea afecțiuni, probleme anterioare de sănătate și nu a suferit o infecție anterioară cu SARS-CoV-2. Niciunul dintre cei doi băieți nu s-a plâns de febră, durere în piept, palpitații sau dispnee. Autopsiile nu au arătat ceva ieșit din comun, cu excepția obezității la un adolescent și afecțiunile cardiace (Figurile 1-7 și Figurile suplimentare 1-4 [conținutul digital suplimentar poate fi găsit la sfârșitul articolului]). Descoperiri de afecțiuni cardiace unice la adolescentul A includ fibroza miocardică, iar la adolescentul B, hipertrofie cardiacă. Nu au existat erupții cutanate sau limfadenopatie.
Analiză
Miocardita este o boală inflamatorie a miocardului, care poate apărea izolat sau ca parte a unor tulburări multiorganice / sistemice mediate imun sau ca reacții la substanțe exogene / endogene.[13] Etiologiile sunt variate și includ cauze infecțioase și neinfecțioase. Printre cauzele neinfecțioase sunt cauze imune / autoimune (autoantigene, asociere cu boli mediate imun, aloantigeni și alergeni), medicamente / substanțe toxice (de exemplu, hipersensibilitate sau efecte toxice directe) și alte cauze (de exemplu, radiații, înțepături de insecte, mușcături de șarpe).[13] Miocardita limfocitară este cel mai frecvent subtip histologic, caracterizat printr-un infiltrat miocardic inflamator cuprinzând de obicei celule mononucleare. În faza acută / activă, este de obicei însoțit de afectarea / necroza miocitelor.[13] Deși criteriile evoluează, criteriile Dallas impun „infiltrate inflamatorii ale miocardului cu necroza și/sau degenerarea miocitelor adiacente, ceea ce nu este tipic pentru afectarea ischemică asociată cu boala arterială coronariană.”[14-16]
Miocardita toxică constituie o clasificare etiologică care implică leziuni miocardice directe cauzate de diverse droguri sau substanțe.[13,17,18] Miocardita toxică indică de obicei stadii inflamatorii ale leziunii miocardice induse de catecolamine. Efectul toxic al catecolaminelor asupra inimii a fost constatat pentru prima dată la pacienți cu feocromocitom.[19-21]
Ambii adolescenți au avut tablouri clinice similare, fără simptome cardiace evidente. Histopatologia lor nu demonstrează existența unei miocardite tipice. În acele cazuri, se pot constata infiltrate limfocitare (sau celule gigantice) cu necroză a miocitelor adiacente; modificări precum miocitele hipereozinofile și benzile de contracție sunt absente. În aceste două cazuri post-vaccinare, apar zone cu benzi de contracție și miocite hipereozinofile diferite de inflamație. Acest tip de leziune este în schimb similar cu ceea ce se observă în miocardul pacienților care sunt diagnosticați clinic cu cardiomiopatie Takotsubo, toxică sau „de stres”, care este o leziune miocardică temporară care se poate dezvolta la pacienții cu factori de stres extrem fizic, chimic sau uneori emoțional.[24-31]
Cardiomiopatia de stres este un proces ischemic mediat de catecolamine observat în cazul unor niveluri mari de catecolamine în absența bolii coronariene sau a spasmelor.[17,31] De asemenea, a fost denumită „leziune miocardică neurogenă” și „sindromul inimii frânte”.[18,24-36].
……. Bănuim că modificările cardiace acute observate la acești doi adolescenți sunt rezultatul efectelor mediate de epinefrină asupra cardiomiocitelor. Aceste dezvoltări permit în general un prognostic favorabil, totuși, unii pacienți pot muri din cauze subiacente (non-cardiace) (de exemplu, hemoragie subarahnoidiană).

Această reacție post-vaccin poate reprezenta un răspuns imun prea exagerat, iar leziunea miocardică este mediată de mecanisme imunitare similare celor descrise în legătură cu SARS-CoV-2 și furtunile de citokine din sindromul inflamator multisistem (MIS-C).[38] MIS-C este o boală sistemică rară, manifestându-se prin febră persistentă și inflamație extremă în urma expunerii la SARS-CoV-2. Copiii afectați au febră persistentă și pot suferi de dureri abdominale acute, însoțite de diaree sau vărsături, dureri musculare / stare de rău și hipotensiune arterială. Alte simptome raportate sunt erupții cutanate, ganglioni limfatici măriți și umflături.
……. În ciuda unei investigații moleculare, etiologia fibrozei în cazul A este neclară. Este posibil ca acest proces să fi început mai întâi cu prima doză de vaccin și ca efectele miocardice inițiale să se fi vindecat în timp. Este posibil ca a doua doză să fi redeclanșat procesul. S-ar putea aștepta la unele cicatrici / îmbunătățiri după câteva săptămâni, deși cicatricile în cazul A par mai bine formate decât cum erau în intervalul de trei săptămâni dintre dozele de vaccin. (…)
Indiferent de etiologia fibrozei, însuși gradul de cicatrizare are efect potențial aritmogen și poate constitui un factor declanșator al leziunii miocardice acute post-vaccin. În mod similar, se poate ca hipertrofia cardiacă din cazul B să fi făcut ca inima să devină mai susceptibilă de aritmie. Punctul cheie este că, din moment ce acești adolescenți au murit subit în somn, fără a mai fi resuscitați, dacă aritmia ar fi fost provocată de cicatricile miocardice (băiatul A) sau de cardiomegalie [inimă mărită] (băiatul B), atunci leziunea miocardică fulminantă, generală nu ar fi un rezultat așteptat. În aceste două cazuri clinice este plauzibilă varianta etiologiei leziunii miocardice acute ca factor principal, nu ca rezultat secundar din starea de agonie sau post-resuscitare.
Au fost recent raportate [41] cazurile ale doi adulți (de 42 și 45 de ani) cu „miocardită” diagnosticată histologic (într-un caz la autopsie, iar în celălalt caz prin biopsie) în urma vaccinurilor ARNm SARS-CoV-2. Leziunea în primul caz s-a produs la 10 zile după primirea primei doze de vaccin Pfizer-BioNTech covid-19, iar în cazul al doilea a apărut la 14 zile după primirea celei de-a doua doze de vaccin ARNm-1273 (Moderna). Histologic, ambele [leziuni] au fost descrise ca fiind [cazuri de] miocardită „fulminantă”, cu „leziuni multifocale ale cardiomiocitelor asociate cu infiltrate inflamatorii mixte”. Pe lângă zonele de necroză a miocitelor asociată cu infiltratul inflamator, microfotografiile demonstrează existența de modificări ischemice diferite de inflamație, similare celor din constatările noastre.
Furtuna de citokine a fost descrisă ca fiind un răspuns inflamator excesiv și necontrolat și există o buclă de reacție între catecolamine și citokine.[12] Printre complicațiile clinice pot fi deteriorarea cardiacă, tulburări respiratorii și hipercoagularea.[42] Leziunile miocardice observate la aceste corduri post-vaccin prezintă un aspect histologic similar cu cardiomiopatia de stres mediată de catecolamine și infecția severă cu SARS-CoV-2, inclusiv „miocardita” care este asociată cu sindromul de eliberare de citokine.[38] Recunoașterea faptului că aceste cazuri sunt diferite de miocardita tipică și că furtuna de citokine prezintă o cunoscută buclă de reacție cu catecolamine poate ajuta la depistare, stabilirea diagnosticului și terapie.
Referințele și trimiterile spre studii pot fi consultate accesând documentul în PDF: https://meridian.allenpress.com/aplm/article-pdf/doi/10.5858/arpa.2021-0435-SA/3014843/10.5858_arpa.2021-0435-sa.pdf
Traducere de Irina Bazon
Imagine dramatică – sângele copiilor decedați văzut la microscop (mai multe imagini în documentul din link-ul de mai sus):
Citiți și:
Studiul de care nu ați auzit, realizat pe 23 de milioane de oameni, prin care se confirmă incidența problemelor cardiace după vaccinarea anti-covid
Un studiu șocant dezvăluie că vaccinul anticovid provoacă avorturi spontane în 4 din 5 cazuri
yogaesoteric
5 septembrie 2022