Dezvăluire medicală: Boala Alzheimer a fost răspândită prin tratamente care sunt astăzi interzise
Au apărut dovezi că practica de injectare a hormonului de creștere la copii, folosind extract de la persoane decedate, poate arăta cum se transmite boala Alzheimer.

Această practică, care a fost administrată la aproximativ 200 de copii între 1959 și 1985, a avut ca rezultat faptul că unele persoane au dezvoltat mai târziu în viață o afecțiune cerebrală fatală numită boala Creutzfeldt-Jakob. Boala Creutzfeldt-Jakob este cauzată de o proteină malformată cunoscută sub numele de prion.
Deși transmiterea bolii Alzheimer de la o persoană la alta este foarte rară, deoarece necesită un contact direct cu lichidul cerebral, cercetătorii consideră că instrumentele utilizate în neurochirurgie ar necesita decontaminare pentru a preveni transferul proteinelor Alzheimer între pacienți.
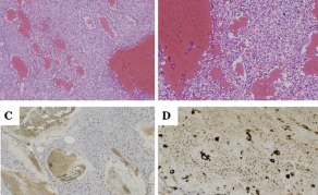
Studiul a monitorizat persoanele care au primit injecții cu hormon de creștere și care nu au murit din cauza bolii Creutzfeldt-Jakob. Cercetătorii au constatat că cinci din opt dintre aceste persoane au dezvoltat simptome ale bolii Alzheimer la 30, 40 și 50 de ani.
Participanții rămași au prezentat, de asemenea, semne ale biomarkerilor Alzheimer și atrofie cerebrală. Aceste constatări sugerează că debutul precoce al demenței la aceste persoane nu poate fi atribuit altor factori.
Cercetările anterioare au arătat că injecțiile cu hormon de creștere conțineau beta-amiloid, proteina asociată cu boala Alzheimer, iar persoanele care au primit aceste injecții și care au murit ulterior din cauza bolii Creutzfeldt-Jakob aveau depozite de beta-amiloid în creierul lor, scrie incredibilia.ro.
Această cercetare sugerează că boala Alzheimer ar putea avea caracteristici comune cu bolile prionice, ceea ce ar putea deschide noi strategii terapeutice. Studiul a fost publicat în revista Nature Medicine.
Citiți și:
Mecanismul de acţiune al turmericului în boala Alzheimer
Este boala Lyme o armă biologică scăpată de sub control? Dezvăluiri explozive făcute de dr. Joseph Mercola și Kris Newby. Scenariul covid nu este unic
yogaesoteric
22 februarie 2024